MARÍLIA E REGIÃO Preso médico psiquiatra suspeito de estupro e importunação sexual
| MARÍLIA E REGIÃO |
Fonte original: abrir
| MARÍLIA E REGIÃO |
Fonte original: abrir
| JUSTIÇA | Após o ministro conceder a autorização, foi iniciada votação no plenário virtual para decidir se a medida seria referendada. A votação foi finaliza…
| RECUO |
| EM BOTUCATU | Mulheres, de 21 e 23 anos, confessaram à GCM que estavam com uma relação de remédios encomendados por uma receptadora de Campinas e que iriam f…
| CAMPANHA NO CALÇADÃO | Evento gratuito acontece na quadra 5 do Calçadão da Batista, com orientações de saúde, aferições e participação do SAMU
| AÇÃO SOLIDÁRIA | Campanha promovida pelo Grupo PET Odontologia arrecadou 61 brinquedos e 66 itens de cuidado pessoal, que foram entregues neste mês de outubr…
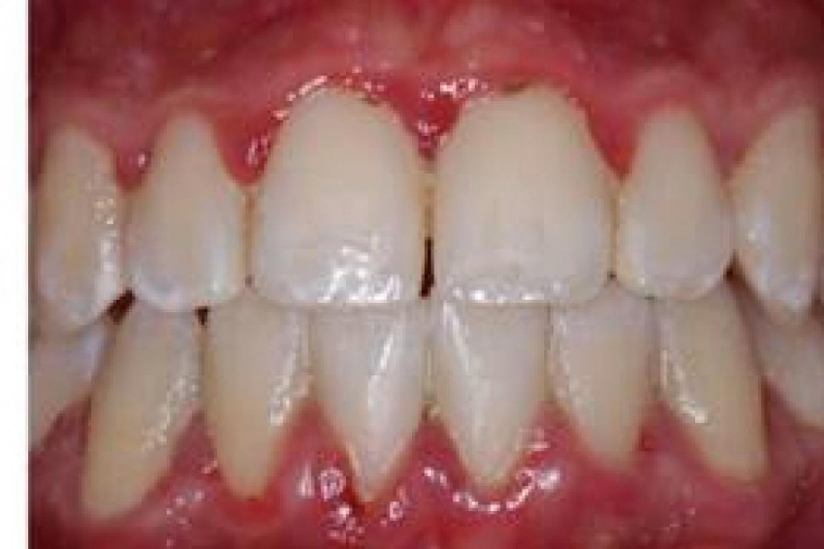
| EM BAURU | Os voluntários serão avaliados por meio de um exame periodontal (avaliação da gengiva)
| ASSISTÊNCIA SOCIAL | Varejistas de GLP poderão se credenciar ao programa junto à Caixa Econômica Federal a partir desta quinta-feira (23), compondo a rede de…
| CAMPANHA | Edição destacou a importância da higienização das mãos e das superfícies